
All-on-X Restorations, Built to Last
Full-arch solutions. Fully integrated planning.
All-on-X isn’t just about replacing teeth—it’s about restoring function and quality of life through strategic, interdisciplinary design. At Dentcof, each full-arch case is digitally pre-planned, combining surgical precision, prosthetic design, and soft tissue architecture to ensure a durable, coherent result.
1. Diagnostic and Interdisciplinary Planning
Design-first approach, with every detail mapped.
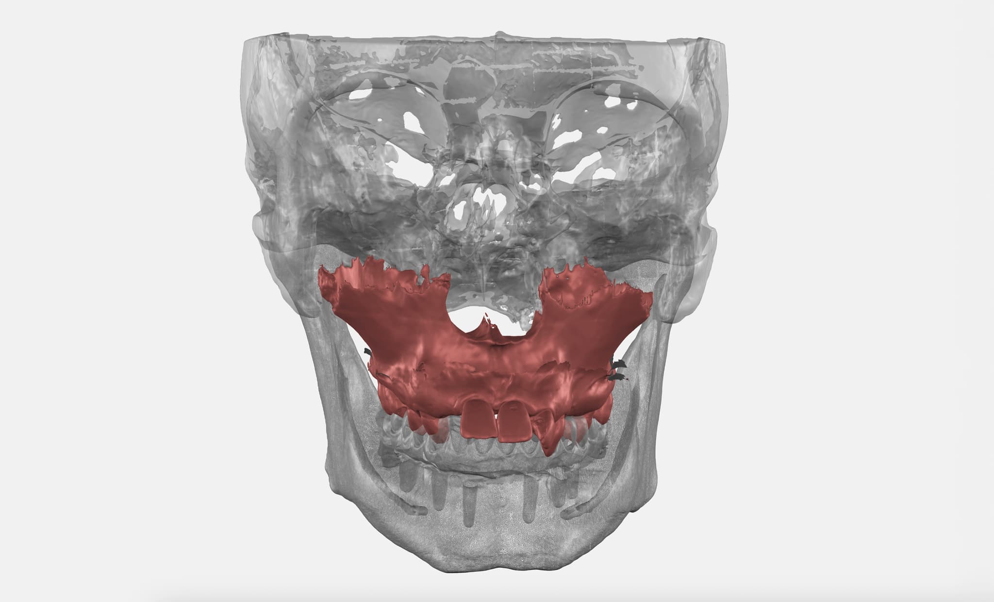
We begin with a complete digital work-up, including facial scans, bone evaluation, and smile simulations. All-on-X is never an isolated surgical procedure at Dentcof. Instead, we coordinate implant positioning, bone grafting, gingival contours, and prosthetic esthetics within a single plan—before treatment begins.

2. Guided Surgery and Immediate Loading
Precision placement, faster recovery.
Implants are placed using a 3D-printed surgical guide generated from your digital design. When conditions allow, a provisional full-arch prosthesis is attached on the same day—so you leave with a functional and esthetic smile, even as healing begins.

3. Final Restoration
Crafted to endure, designed to belong.
After the healing phase, we finalize the restoration based on the original plan. Our in-house lab, Metalab, produces monolithic prosthetics with lifelike esthetics and long-term strength. The digital blueprint ensures the final result stays consistent with the original design.
I’mperfect—Identity-Driven, Even in Full Arches
Individual esthetics. Personal meaning.
At Dentcof, we don’t copy trends—we preserve authenticity. Even in full-arch restorations, we apply the "I’mperfect" philosophy to design smiles that reflect each patient’s unique features. Using real tooth forms from biometric libraries, we create prosthetics that align with your character, not a standard.

Unified Workflow, Predictable Outcomes
One team. One vision. No guesswork.
From planning to delivery, All-on-X at Dentcof is managed by an integrated team of surgeons, prosthodontists, and lab technicians. This alignment reduces complications, accelerates timelines, and provides higher clinical stability over time.

Digital Design with Biological Sense
Technology meets biology.
Our designs consider more than just the teeth—they factor in soft tissue healing, phonetics, chewing patterns, and bone architecture. Each restoration is functional, beautiful, and biologically sound.

Monolithic Strength, Stored Digitally
Predictable, repairable, repeatable.
All full-arch prosthetics are crafted as monolithic units in Metalab, using materials selected for strength and esthetics. Because each design is archived digitally, reproducing or repairing a prosthesis—even years later—is straightforward and consistent.

You See It Before We Start
Preview your smile, digitally and physically.
Before surgery, we show you the projected smile outcome using digital simulations and facial references. When appropriate, we also create physical mock-ups to help you visualize your new smile in real life—before making any commitment.
All-on-X – Frequently Asked Questions
What is All-on-X?
All-on-X is a full-arch restoration supported by multiple implants (typically 4 to 6), used to replace all missing teeth in the upper or lower jaw. It combines surgical implants with fixed prosthetics for a complete solution.
Is All-on-X suitable for me?
This depends on your bone quality, medical condition, and overall oral health. A full diagnostic and planning phase helps us determine the best treatment.
How long does the treatment take?
In many cases, provisional teeth can be delivered on the same day as implant placement. Final restorations are usually completed after 3–6 months of healing.
Are the teeth removable?
No. All-on-X prosthetics are fixed in place and can only be removed by your clinician. They are designed to function and feel like natural teeth.
How do I maintain my All-on-X restoration?
Good hygiene, periodic check-ups, and occasional professional cleanings are essential. We provide specific care instructions and long-term maintenance plans.
How much does All-on-X cost?
Cost depends on the number of implants, materials used, and complexity of the case. After your diagnostic phase, we offer a personalized treatment plan with full transparency.