
Teeth Whitening at Dentcof
Whitening without altering. Lightening while preserving.
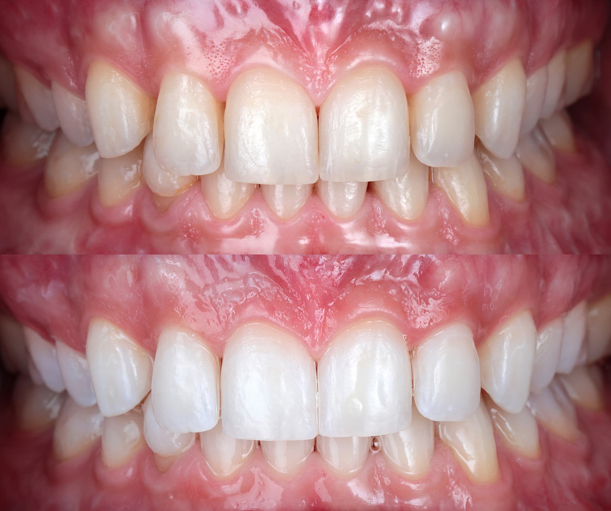
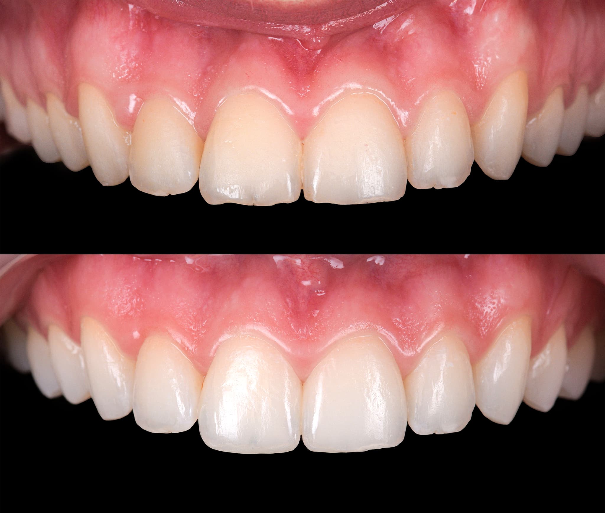
Teeth whitening (bleaching) is one of the least invasive ways to enhance your smile. At Dentcof, we apply it not as a one-size-fits-all cosmetic fix, but as a curated part of your overall aesthetic plan. Whether done as a standalone procedure or combined with other treatments, whitening lets us elevate brightness without altering form.

1. Diagnosis and Treatment Planning
Tailored to your enamel, guided by your goals.
We begin by evaluating the cause of discoloration, tooth sensitivity, and the type of stains present. This helps us determine whether whitening will be effective and what method—at-home, in-office, or combined—is most appropriate.
Learn more about treatment planning.

2. Whitening Protocol
Safe, controlled, and calibrated.
We use professional-grade whitening agents and custom trays or in-clinic application protocols to ensure even results with minimal sensitivity. The process is monitored by our team to avoid overbleaching or enamel damage.

3. Maintenance and Integration
A brighter smile that fits the plan.
We evaluate the final shade in the context of your full smile design. Whitening is often done before placing veneers, crowns, or composites—so the teeth that don’t require intervention can still match harmoniously.
I’mperfect Starts Here
Nothing added. Nothing taken away.
Bleaching is the most congruent expression of the I’mperfect philosophy: it respects the tooth’s natural structure entirely. When anatomy is healthy and well-shaped, but color is a concern, whitening becomes a powerful option to enhance the smile while keeping every detail intact.

Integrated into Broader Care
A step, not a shortcut.
Bleaching is often part of a multi-phase plan. We use it to improve appearance non-invasively when anatomy allows, or as a base to harmonize mixed treatments. By planning shade early, we avoid mismatches later.

Minimal Intervention, Maximal Effect
Aesthetic change without structural cost.
Whitening delivers visible results without drilling, reshaping, or anesthesia. When appropriate, it provides an instant lift with virtually no recovery—making it ideal for patients who want impact with minimal commitment.

Long-Term Considerations
Safe and sustainable results.
We educate patients on how to maintain the results and recommend touch-ups when needed. The whitening process is repeatable, but always under professional supervision to protect enamel and long-term health.
Teeth Whitening – Frequently Asked Questions
Is whitening safe for enamel?
Yes. When performed professionally, whitening does not damage enamel. We assess each patient’s risk factors and customize the protocol accordingly.
How long do the results last?
Results typically last from several months to a few years, depending on diet, hygiene, and lifestyle habits. Occasional touch-ups help maintain brightness.
Will my teeth be sensitive?
Some patients experience temporary sensitivity, but it’s usually mild and short-lived. We adapt the protocol to minimize discomfort.
Can all teeth be whitened?
Natural teeth respond well to whitening. Crowns, veneers, or composites do not change shade, which is why we plan their placement after whitening when needed.
Should I whiten before or after getting veneers or crowns?
Shade selection should be part of the overall strategy. Whitening can be done before or after restorations depending on your treatment plan. What's essential is to plan which teeth are whitened and which are restored—so everything blends naturally and remains stable over time.