
A Natural Look with Minimal Intervention
Natural outcomes, minimal intervention.
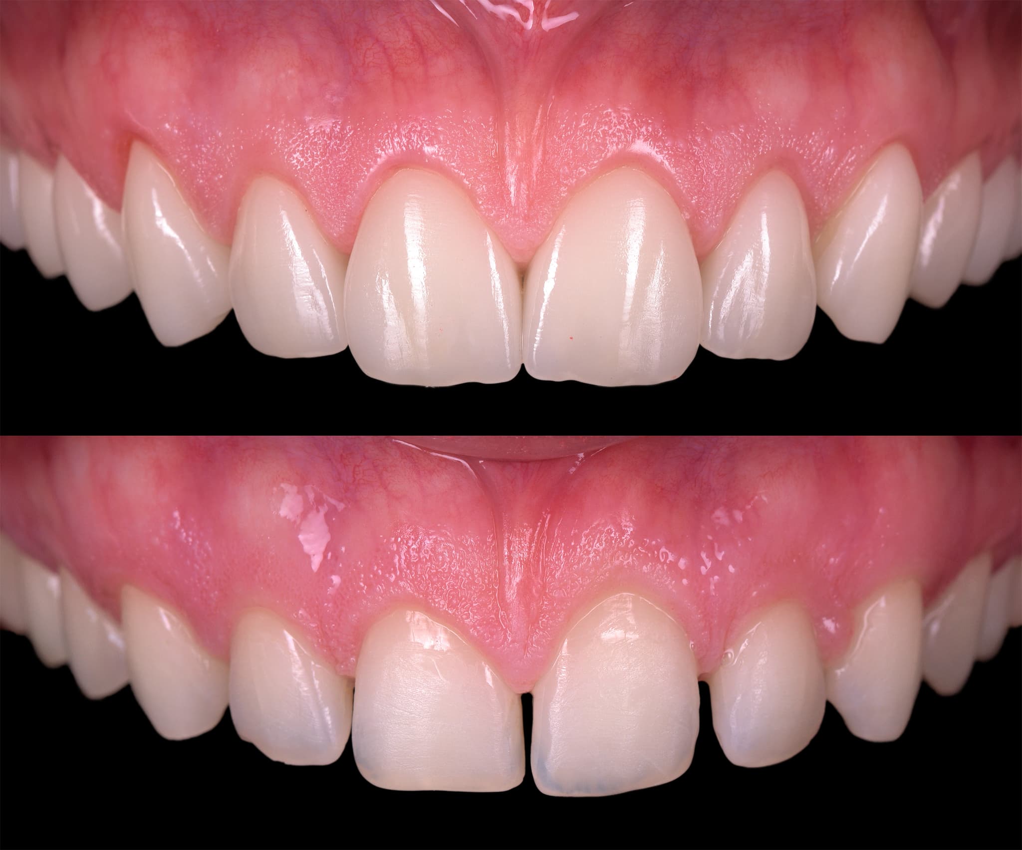
Veneers can transform a smile without invasive procedures. At Dentcof, each case starts with design—not drilling. We use facially driven planning to guide treatment toward a result that preserves identity and enhances natural features.

1. We Start with Design
Planning leads the way.
Before touching the teeth, we build a digital plan. Your smile is visualized using photos, 3D scans, and facial references. Together, we preview outcomes in a mock-up that guides every step ahead.

2. Minimal-Prep or No-Prep Veneers
Less intervention. More preservation.
Once approved, we transfer the design using ceramic veneers. In many cases, only minimal adjustment to the natural teeth is needed—preserving enamel and structure as much as possible. In select cases, no preparation may be required at all.

3. Try-In and Final Bonding
OCD - Obsesive and Constructive about Details
You test the veneers before they’re finalized—assessing shape, color, and how they integrate with your smile. You can evaluate them in natural light, motion, and different settings. Once everything is confirmed, we bond them permanently, ensuring a seamless and natural result.
I’mperfect – A Different Kind of Perfect
Natural. Personal. Timeless.
At Dentcof, we don’t believe in cookie-cutter smiles. We believe your smile should reflect you—your personality, your proportions, your natural features.
“I’mperfect” means embracing individuality, not hiding it.
We don’t chase artificial symmetry or trendy shapes. We design restorations that fit you—not just your teeth, but your face, your expressions, your identity. That’s why our results don’t look “done”—they look right.

Soft Tissue, Designed Together
Gums and teeth—planned as one.
A natural smile isn’t just about teeth—it’s about how they emerge from the gums. That’s why we often include soft tissue recontouring in the design process. Whether it’s adjusting the gum line or reshaping papillae, we sculpt the foundation to support the final aesthetic. Teeth and tissues are planned as one composition, not treated separately. Every design is archived digitally for long-term consistency.

You See It Before We Start
Clarity before commitment. Always previewed, never improvised.
Before any treatment, you see your future smile—on your face, in motion, and from every angle. In additive cases, we place a physical mock-up directly in your mouth, so you can test the look and feel. In reductive cases, we simulate the result digitally using AI-generated before-and-after videos. Either way, you’ll understand the outcome before making any decision.

Crafted In-House, in Our Own Lab
Design, production, and precision—under one roof.
Every veneer is produced by Metalab, our in-house ceramic lab. This direct link between design and production eliminates miscommunication, reduces trial and error, and ensures consistency between plan and outcome.

Esthetics That Endures
Beauty built to last.
Our veneers are designed to do more than look good immediately. They integrate with soft tissue, age naturally, and perform reliably for years. We verify every margin, emergence profile, and contact point to ensure the result is not only beautiful—but biologically sound.
Veneers – Frequently Asked Questions
What are veneers?
Veneers are thin ceramic layers bonded to the front of teeth to improve their appearance. They’re used to enhance shape, color, alignment, or proportion—without invasive procedures.
Are veneers permanent?
Yes. Once bonded, veneers are intended as a long-term solution. With proper care, they can last 10–20 years or more.
Do veneers ruin natural teeth?
No. In most cases, we use no-prep or minimal-prep techniques that preserve the enamel and structure of your natural teeth.
Will they look natural?
Absolutely. Each case is designed based on facial references and personalized esthetics. The result fits your face—not a template.
What if one veneer breaks?
We save a digital blueprint for every case. This means a damaged veneer can be remade without needing to redesign the entire smile.
How much do veneers cost?
Cost depends on the number of veneers, complexity of the case, and materials used. After a full clinical assessment, we provide a tailored plan—not a one-size-fits-all price.
When are no-prep veneers possible?
No-prep veneers are suitable when the teeth are correctly positioned, with no major discoloration or structural issues. They’re often used in additive cases where volume or length is added. When significant reshaping or alignment is needed, minimal-prep veneers may be recommended to ensure both esthetics and function.