
Periodontal Treatment at Dentcof
Health starts at the foundation.
Gums and bone are the silent foundation of every smile. When they’re compromised, even the most beautiful restorations lose stability. At Dentcof, we treat periodontal disease not in isolation, but as an integrated part of the larger restorative plan—focusing on both health and design from the ground up.

1. Diagnosis and Digital Mapping
Early detection. Full understanding.
We begin with a clinical and radiographic assessment, using 3D scans and digital probes to evaluate pocket depth, bone loss, and gum inflammation. This allows us to grade severity and monitor progression with precision. Most importantly, we assess how the disease affects your overall treatment plan.

2. Active Periodontal Therapy
Minimally invasive. Precisely delivered.
Depending on severity, treatment may involve non-surgical scaling and root planing, laser-assisted therapy, or targeted antimicrobial treatments. We work flaplessly where possible, focusing on cleaning the root surface and halting progression—without unnecessary trauma.

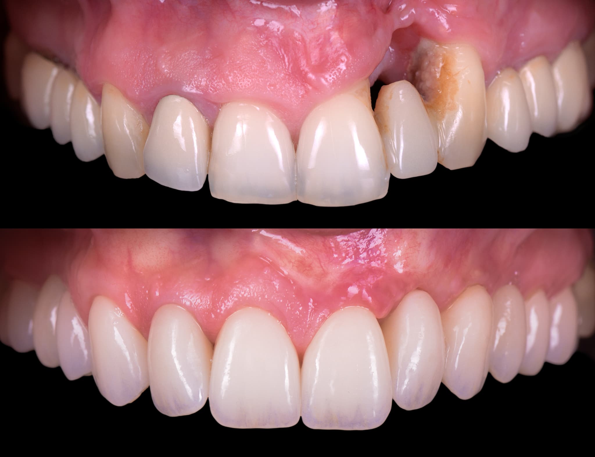
3. Regeneration and Tissue Recovery
Rebuilding where possible. Stabilizing always.
In cases with bone loss or gum recession, we assess the possibility for regeneration. Using biomaterials and guided healing principles, we rebuild support in selected areas. When future implant placement is considered, regeneration helps create a stable foundation. Our goal is not only to stop disease—but to restore architecture.
Learn more about soft tissue grafts
Learn more about dental implants

4. Maintenance and Long-Term Monitoring
Sustain health. Prevent relapse.
After active therapy, maintenance is key. We customize follow-up care intervals and use digital comparisons to track healing. Patients receive structured hygiene protocols and tailored recall programs to ensure stability over time.
Designed to Fit the Bigger Picture
Periodontal health, not treated in isolation.
At Dentcof, treating gum disease isn’t an endpoint—it’s a starting point for everything else. Whether you’re planning implants, orthodontics, or esthetic work, we treat periodontal stability as the foundation. That’s why we integrate periodontal therapy within the full treatment vision—not as a separate track.
Guided by Data. Executed with Experience.
Technology meets clinical judgment.
We use CBCT, intraoral scanning, and diagnostic photos to track tissue changes over time. This allows us to intervene early, plan restorations safely, and avoid overtreatment.
Our experienced team aligns surgical, hygiene, and prosthetic efforts for lasting results.
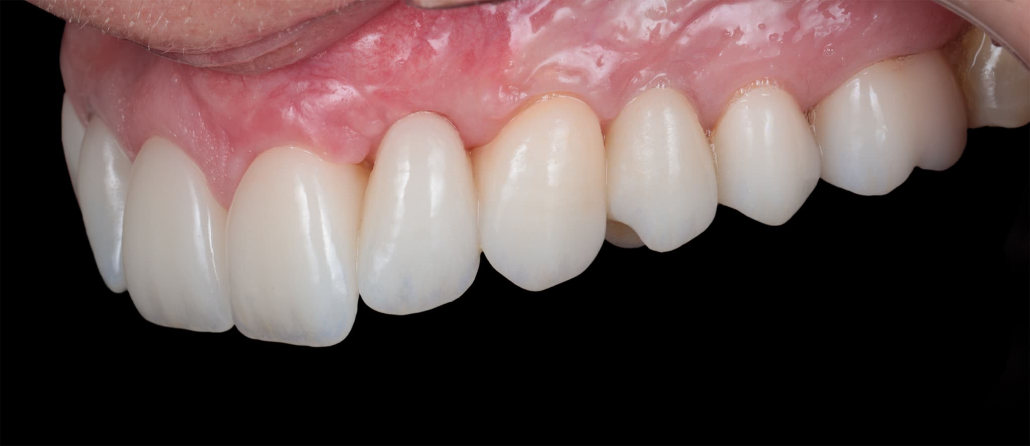
Digital Design, Biological Reality
Healthy tissue supports natural esthetics.
Esthetic outcomes don’t just depend on ceramics—they rely on soft tissue health and contour. That’s why we consider periodontal architecture during the design phase. We shape, protect, and maintain soft tissue to support both health and harmony.

Interdisciplinary, Always
Not a separate department—a connected discipline.
Periodontal care at Dentcof happens alongside all specialties. Whether coordinating with orthodontics to control inflammation, or with prosthetics to time tissue healing, our team works under one vision—from diagnosis to final polish.
Periodontal Treatment – Frequently Asked Questions
What is periodontal disease?
Periodontal disease is an inflammatory condition affecting the gums and bone that support the teeth. It can lead to bleeding, recession, mobility, and eventually tooth loss if untreated.
How do I know if I have it?
Common signs include bleeding when brushing, bad breath, gum recession, and shifting teeth. A dental evaluation with periodontal probing and imaging is needed for diagnosis.
Is periodontal treatment painful?
Most treatments are minimally invasive and well tolerated with local anesthesia. Laser or ultrasonic cleaning improves comfort and healing.
Can lost bone or gum be rebuilt?
In some cases, yes. Guided tissue regeneration and grafting procedures can partially restore lost structures, depending on severity and location.
Will I need surgery?
Not always. Many cases can be managed non-surgically with cleaning, hygiene reinforcement, and regular maintenance. Surgery is reserved for specific advanced cases.
How often do I need maintenance?
Typically every 3–4 months, depending on the severity and individual risk factors. Personalized recall programs are created to maintain long-term results.