
Crown Lengthening at Dentcof
Redefining proportions. Supporting long-term esthetics.
Crown lengthening isn’t just a surgical procedure—it’s a design tool. Whether to expose more natural tooth for a restoration or to correct uneven gum levels, the procedure is fully integrated into the larger treatment plan. At Dentcof, we approach crown lengthening as part of a broader aesthetic and functional strategy, always aligned with prosthetic and soft tissue design.
1. Diagnostic Planning and Smile Design
Designed with the end in mind.
We begin with full digital records, including 3D scans, photos, and facial analysis. The ideal tooth proportions and gum architecture are defined before any surgical step. The crown lengthening procedure is then mapped digitally, aligning surgical decisions with prosthetic outcomes and patient esthetics.

2. Surgical Execution
Minimally invasive, precisely guided.
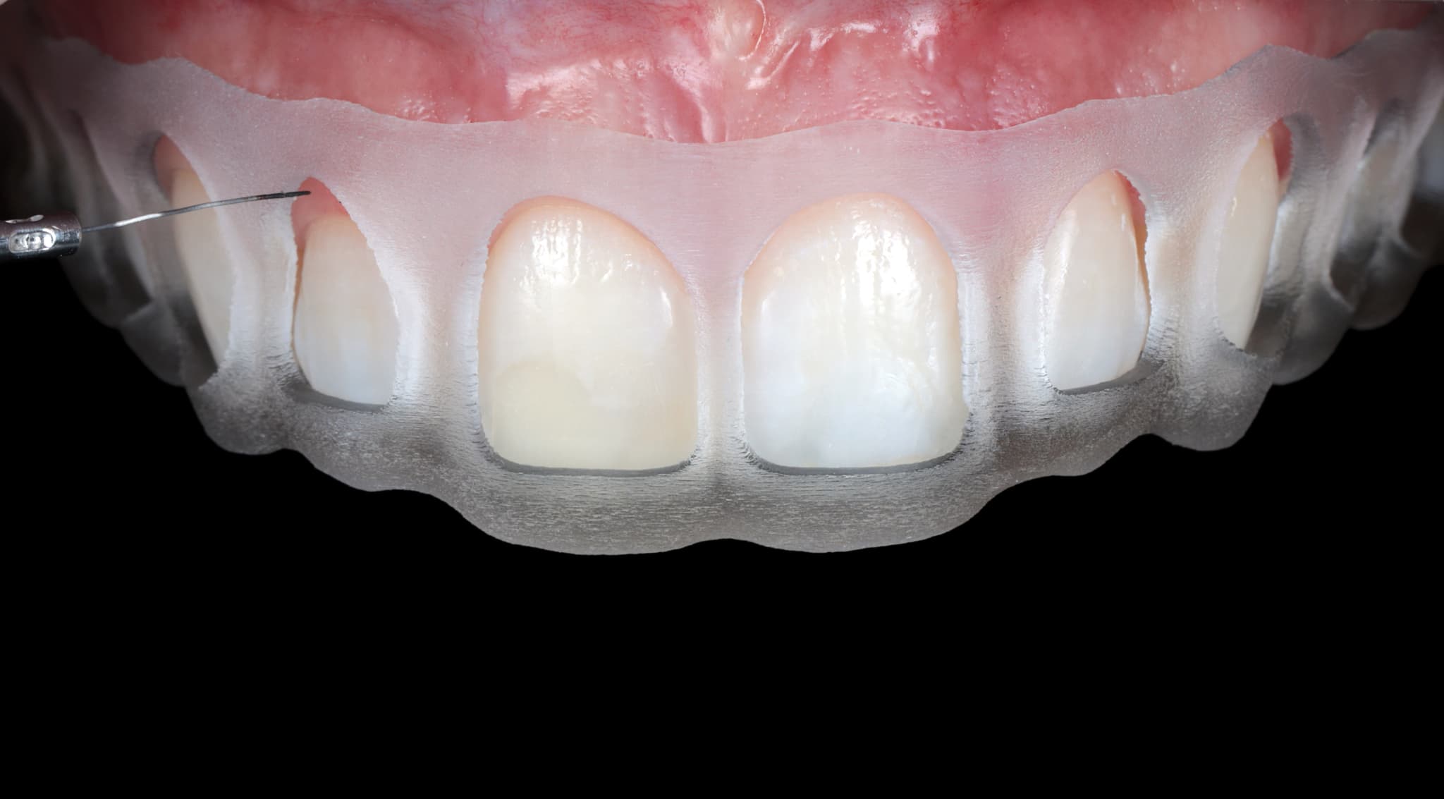
Using the digital plan and a custom-made surgical guide, we perform gingival recontouring and, if needed, bone remodeling to adjust the gum line. The goal is to improve both tooth display and periodontal health while ensuring a stable foundation for future restorations. Most cases are flapless and suture-free. When bone reduction is needed, it is also performed flaplessly, following the new gingival margin to recreate biologic width—minimizing trauma and improving healing.

3. Prosthetic-Guided Healing
Restorations that shape the healing process.
Instead of delaying final restorations, we often execute crown lengthening simultaneously with tooth preparation. Ceramics are bonded shortly after surgery—guiding tissue healing with the actual final design. This strategy creates a seamless integration between surgery and prosthetics and leads to more predictable soft tissue outcomes.
Supporting the "I’mperfect" Philosophy
Natural esthetics through precise design.
We don’t idealize smiles—we individualize them. Crown lengthening supports the "I’mperfect" philosophy by refining the gum line in harmony with each patient’s facial features and smile dynamics. It’s a subtle yet powerful step toward natural-looking results.
Learn more about our design philosophy

Integrated Workflow with Prosthetics
One vision, across all disciplines.
Crown lengthening at Dentcof is never done in isolation. It is coordinated with prosthetic design, orthodontics, and implant placement when relevant. This interdisciplinary planning leads to fewer interventions, better outcomes, and more esthetic consistency.

In-House Expertise and Technology
Digitally guided, clinically integrated.
Our surgical procedures are performed by experienced clinicians using custom-made surgical guides and full diagnostic data. With real-time lab support and all steps done in-house, communication is seamless and outcomes are more predictable.
Long-Term Stability
A foundation that lasts.
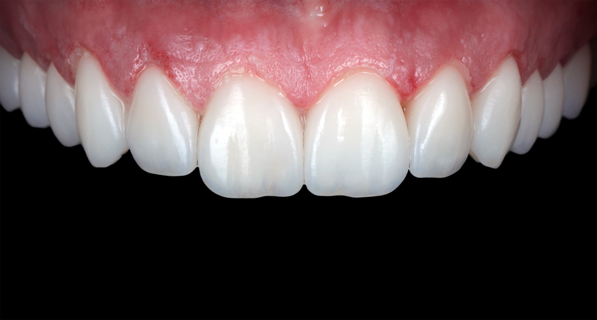
Crown lengthening sets the stage for restorative success. Whether it’s for veneers, crowns, or implants, proper gingival contouring contributes to biological health, esthetic integration, and prosthetic longevity.

You See the Result Before We Begin
Simulation before surgery. Confidence before commitment.
Using digital previews and mock-ups, we show you how your smile will look after crown lengthening—before any surgical steps are taken. This clarity supports better decisions and smoother treatment.
Crown Lengthening – Frequently Asked Questions
What is crown lengthening?
Crown lengthening is a procedure that adjusts the gum and bone level to expose more of the tooth. It is used to improve esthetics or to allow placement of restorations like crowns or veneers. At Dentcof, the procedure is digitally planned and performed using a custom-made surgical guide.
Is crown lengthening painful?
The procedure is done under local anesthesia and is generally well tolerated. In most cases, it is flapless and suture-free, leading to a faster, more comfortable recovery.
How long is the healing period?
Initial healing takes 1–2 weeks. However, because we often bond final restorations shortly after surgery, healing is guided by the ceramic itself. In selected cases, additional time may be needed before completing treatment.
Will I need stitches?
In most cases, no. We use a minimally invasive, flapless technique that does not require sutures. If used, resorbable sutures are applied and dissolve on their own.
Is crown lengthening permanent?
Yes. Once the gum and bone levels are adjusted and healed, the results are stable and long-lasting.
How much does it cost?
Cost varies based on the number of teeth involved and case complexity. We always provide a personalized plan after full diagnostic evaluation.