
Composite Restorations at Dentcof
Functional, aesthetic, and conservative.
Composite restorations are more than just fillings—they're a precise blend of function, aesthetics, and preservation. At Dentcof, every composite is planned as part of a bigger picture, whether it’s a small repair or a full rehabilitative case. We prioritize minimal intervention and long-term outcomes.

1. Diagnosis and Material Selection
Tailored to each tooth.
We begin with careful diagnosis—assessing the extent of the decay, fracture, or wear, and evaluating bite forces in that area. We choose the type of composite based on location, stress factors, and esthetic demands to ensure optimal function and longevity.

2. Minimally Invasive Tooth Preparation
Preserve what matters.
We use magnification and adhesive protocols to remove only the compromised structure. The preparation is guided by the defect, not by the material. This allows us to preserve as much healthy tooth as possible and extend the tooth’s lifespan.

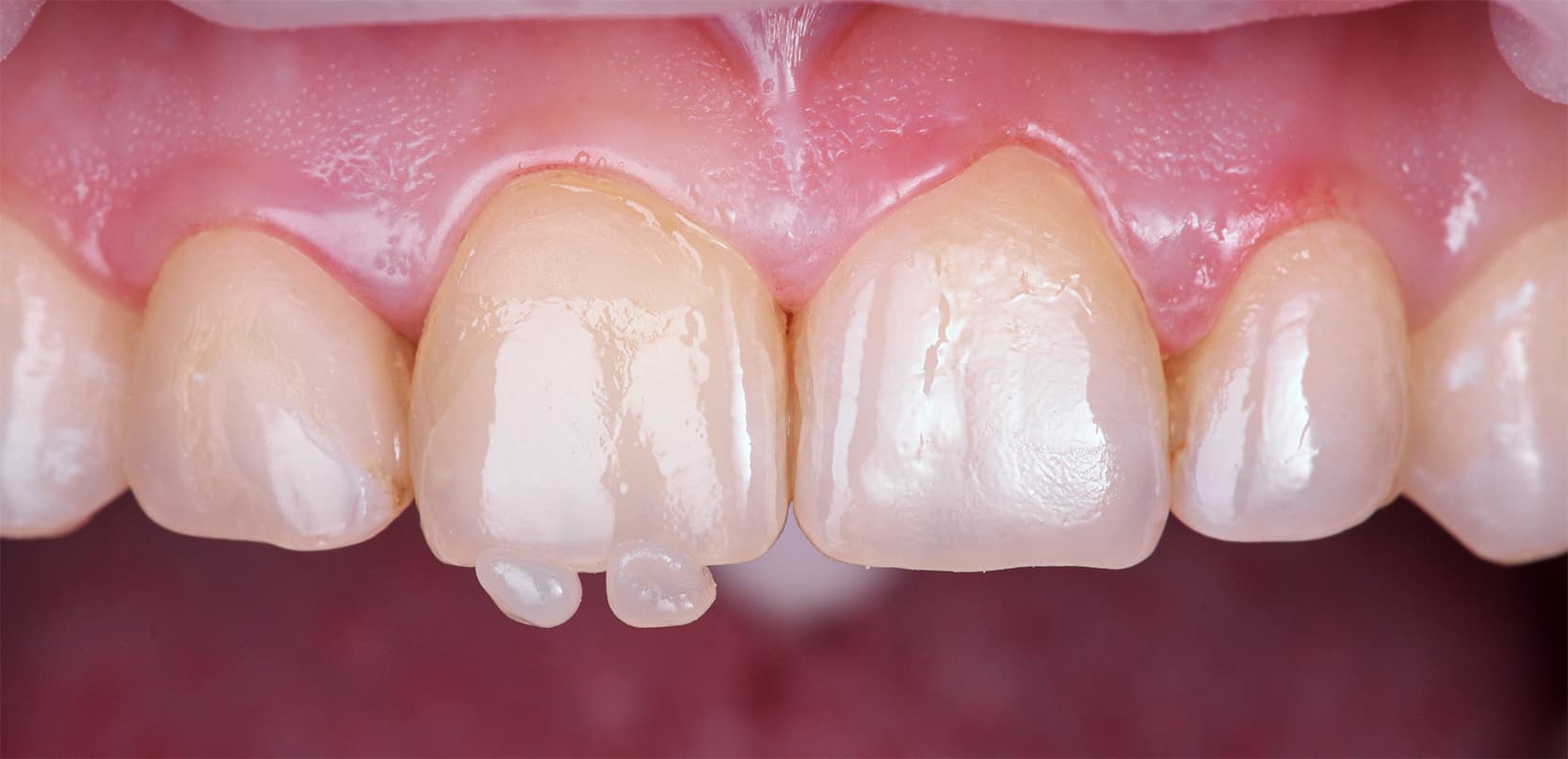
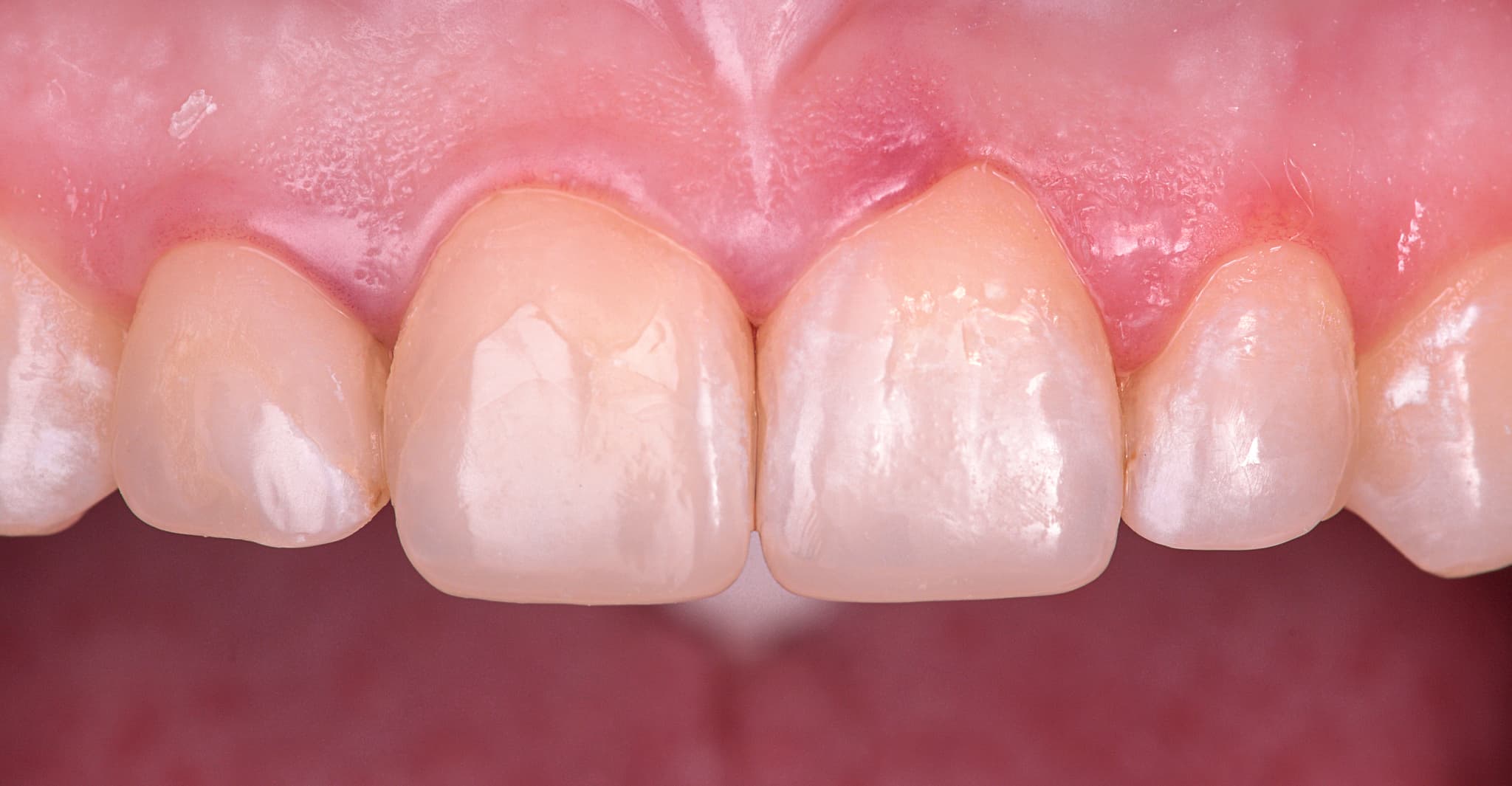
3. Layering and Finishing
Precision in shade and shape.
Using layered composites, we recreate both the form and the optical properties of natural teeth. The restoration is sculpted directly in the mouth, shaped in harmony with surrounding structures, and polished for seamless integration.
I’mperfect in Every Detail
Preserving character. Filling with purpose.
Composites are about restoring what’s lost without erasing what’s natural. We don’t redesign the tooth—we rebuild it from within. The "I’mperfect" philosophy means we honor existing anatomy and preserve the unique features that give your smile its identity. Every addition is subtle, intentional, and character-driven.

Esthetics That Belongs
Invisible integration.
Our goal is for the restoration to disappear—to look and function like the tooth never had a problem. Each composite is color-matched, anatomically sculpted, and polished to mimic natural enamel in light, texture, and contour.

Guided by Function
Not just beautiful—durable.
A composite that looks good but wears poorly fails the test of time. We assess load distribution, opposing teeth, and occlusal patterns to ensure the restoration works in harmony with your bite—not against it.

Long-Term Value
Small treatment, big impact.
Composites are often seen as minor procedures, but their longevity and success depend on detailed execution. Done right, they help avoid future complications and larger interventions.
Composite Restorations – Frequently Asked Questions
Are composite fillings safe?
Yes. Modern composites are biocompatible, BPA-free, and widely used in both anterior and posterior teeth.
Will it look natural?
Absolutely. We use high-end materials and layering techniques to match the natural color, translucency, and surface texture of your teeth.
How long does a composite last?
With proper care, composite restorations can last 5–10 years or more. Lifespan depends on size, location, and oral hygiene.
Is the procedure painful?
Most composite restorations are done under local anesthesia and are completely painless. Small fillings may not require anesthesia at all.
When is a crown needed instead of a composite?
When the tooth structure is severely weakened or a large portion is missing, a crown or onlay may provide better long-term protection.